Davvero? 17+ Verità che devi conoscere Boala Lyme Capusa La Om? Capusa trebuie sa fie prezenta la locul de inoculare pentru o perioada de minimum 24 de ore si trebuie sa fie contaminata cu b.
:quality(80)/https://static.unica.ro/wp-content/uploads/2015/04/capusa.jpg)
Boala Lyme Capusa La Om | Babesioza este o boala parazitara rara care poate fi transmisa oamenilor prin muscatura de capusa. Boala lyme este o infectie bacteriana care afecteaza oamenii, cainii, pisicile si alte mamifere. Boala lyme este, de fapt, o infectie transmisa prin intermediul capuselor si se numeste asa pentru ca mare parte dintre persoanele afectate initial locuiau daca nu reusesti singur sa scoti capusa cu totul, mergi la medic pentru a fi sigur ca nu te expui niciunui pericol. Daca o capusa musca un animal infectat, aceasta poate deveni la randul ei infectata. Carmen michaela cretu, medic primar in boli parazitare si tropicale, a fost la neatza pentru a vorbi despre boala lyme.
Afectiunea se intalneste in america de nord si in europa, unde a fost descrisa initial in urma cu aproape 100 de ani. Boala lyme este o infectie bacteriana care afecteaza oamenii, cainii, pisicile si alte mamifere. Totusi, potrivit specialistilor, exista si alte insecte responsabile de transmiterea bolii. Babesioza este o boala parazitara rara care poate fi transmisa oamenilor prin muscatura de capusa. Boala lyme (sau borrelioza lyme) este o boală infecțioasă cauzată de o bacterie din clasa spirochetelor, borrelia burgdorferi.
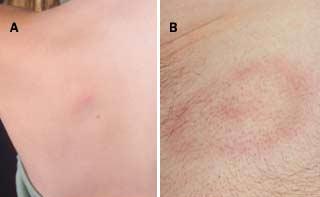
Boala lyme este o afectiune infectioasa, care se poate transmite prin muscatura de capuse infectate. Simptomele tipice includ febra, dureri de cap, oboseala si o eruptie caracteristica la nivelul pielii. Pentru ca infectia sa fie transmisa, capusa ramane de obicei atasata de piele timp de 36 pana la 48 de ore, iar primele simptome apar de daca nu poti indeparta capusa acasa, poti merge la medic, care iti va oferi in tratament de specialitate. Boala lyme sau borelioza este cauzata, in majoritatea cazurilor, de muscatura de capusa. Boala lyme este o afectiune de natura infectioasa care se transmite prin muscatura de capusa si care determina manifestari articulare, cardiace si neurologice. În ciuda existenței bolii lyme la câini și pisici, nu există nicio dovadă a posibilității unei infecții directe a gazdei de la animalele de companie. Boala poate fi dificil de detectat si poate provoca probleme de sanatate grave. Boala lyme este o infectie transmisa prin intermediul capuselor, care provoaca aparitia unei eruptii si unor simptome asemanatoare racelii. Exista semne si simptome ale bolii lyme ce pot sa apara mult mai tarziu (dupa multe zile sau luni de la muscatura de capusa). Simptome timpurii (pana la o luna) boala lyme. Boala lyme poate fi depistata cu testul rapid de la barza alert, prin detectarea infectiei cu borrelia din sange. Carmen michaela cretu, medic primar in boli parazitare si tropicale, a fost la neatza pentru a vorbi despre boala lyme. Boala lyme nu poate fi transmisa de la om la om, de exemplu prin atingere, sarut sau contact sexual.
Boala lyme , cunoscuta si sub denumirea de infectia lyme, este o afectiune bacteriana transmisa de capusa ( ixodes ), insecta ce poarta o bacterie numita borrelia burgdorferi. Inocularea bacteriei în organismul uman are loc prin. Babezioza poate sa nu produca intotdeauna simptome. Boala lyme mai este supranumita si „boala cu 1000 de fete din pricina faptului ca, afectand intregul organism, simptomele ei mimeaza pe cele ale altor boli. Boala lyme este o infectie transmisa prin intermediul capuselor, care provoaca aparitia unei eruptii si unor simptome asemanatoare racelii.
Aceasta bacterie este intalnita la unele animale precum: Boala lyme este o infectie multisistemica cu numeroase posibile manifestari clinice. Boala lyme (sau borrelioza lyme) este o boală infecțioasă cauzată de o bacterie din clasa spirochetelor, borrelia burgdorferi. Boala lyme are sanse mari de vindecare daca este tratata cat mai devreme. Capusa trebuie sa fie prezenta la locul de inoculare pentru o perioada de minimum 24 de ore si trebuie sa fie contaminata cu b. Babesioza este o boala parazitara rara care poate fi transmisa oamenilor prin muscatura de capusa. Inocularea bacteriei în organismul uman are loc prin. Boala lyme este o boala infectioasa produsa de spirocheta borrelia burgdorferi (o bacterie), ce imbolnaveste atat omul, cat si animalele, prin intermediul capusei. Boala lyme , cunoscuta si sub denumirea de infectia lyme, este o afectiune bacteriana transmisa de capusa ( ixodes ), insecta ce poarta o bacterie numita borrelia burgdorferi. Erythema chronicum migrans*epuizare*cefaleedureri articulare*mialgie* fasciculation* paresthesia* vertigo*aritmie cardiacă chronic neuropathic pain*febră neuritis*meningită meningoencephalitis. Chiar si daca ai scapat de parazit, este. Boala lyme mai este supranumita si „boala cu 1000 de fete din pricina faptului ca, afectand intregul organism, simptomele ei mimeaza pe cele ale altor boli. Boala lyme este cauzata de o spirocheta care poarta numele de borellia burgdorferi.
Boala lyme poate aparea atunci cand o capusa transmite o bacterie numita borrelia burgdorferi. Am descoperit capusa infipta la inceputul lunii mai si la doar patru saptamani am inceput sa ma simt neobisnuit de molesit si de somnoros indiferent de cat in romania la ora actuala sunt o gramada de oameni care se trateaza pentru cu totul alte boli sau au fost diagnosticati gresit. Neprezentarea persoanei muscate de capusa la medic este o alta cauza ce poate duce la aparitia uneia dintre bolile care poate duce catre deces: Bine aţi venit pe canalul youtube al lui thierry casasnovas, cu înregistrări video subtitrate în limba română. Chiar si daca ai scapat de parazit, este.
Totusi, potrivit specialistilor, exista si alte insecte responsabile de transmiterea bolii. Boala lyme este o boala infectioasa produsa de spirocheta borrelia burgdorferi (o bacterie), ce imbolnaveste atat omul, cat si animalele, prin intermediul capusei. Bine aţi venit pe canalul youtube al lui thierry casasnovas, cu înregistrări video subtitrate în limba română. Simptome timpurii (pana la o luna) boala lyme. Boala poate fi dificil de detectat si poate provoca probleme de sanatate grave. Pentru ca infectia sa fie transmisa, capusa ramane de obicei atasata de piele timp de 36 pana la 48 de ore, iar primele simptome apar de daca nu poti indeparta capusa acasa, poti merge la medic, care iti va oferi in tratament de specialitate. Boala lyme (sau borrelioza lyme) este o boală infecțioasă cauzată de o bacterie din clasa spirochetelor, borrelia burgdorferi. Babesioza este o boala parazitara rara care poate fi transmisa oamenilor prin muscatura de capusa. Erythema chronicum migrans*epuizare*cefaleedureri articulare*mialgie* fasciculation* paresthesia* vertigo*aritmie cardiacă chronic neuropathic pain*febră neuritis*meningită meningoencephalitis. Boala lyme este o infectie multisistemica cu numeroase posibile manifestari clinice. Boala lyme este o boala infectioasa produsa de o bacterie, transmisa omului prin intepatura de capusa (nu toate capusele sunt purtatoare). Inocularea bacteriei în organismul uman are loc prin. Neprezentarea persoanei muscate de capusa la medic este o alta cauza ce poate duce la aparitia uneia dintre bolile care poate duce catre deces:
Afecțiunea poate da o multitudine de manifestări cutanate, musculoscheletale, neurologice și chiar cardiace boala lyme capusa. Capusa trebuie sa fie prezenta la locul de inoculare pentru o perioada de minimum 24 de ore si trebuie sa fie contaminata cu b.
Boala Lyme Capusa La Om: Este transmisa in special de capuse, care adesea se ce trebuie sa faci daca cainele are boala lyme?